Coming Soon

Dental CBCT

 سی تی اسکن سه بعدی                     پانورامیک                  سفالومتریک

طراحی جسورانه و در عین حال متعادل او، راحتی و کاربردی بودن را ارائه می‌دهد.

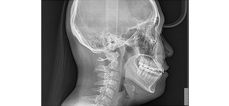
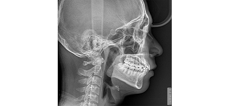
      طراحی مکانیکی ثبت شده Genoray تصاویر Cephalo را با حداقل ارتیفکت تصویری  قابل استفاده برای GT300-C ارائه می‌دهد.

سیستم هدایت صوتی و نورپردازی LED باعث افزایش راحتی بیمار می‌شود.

#

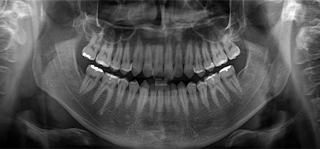
میدان دید وسیع

یک محصول با تنظیمات مختلف میدان دید از 5X5 تا 20X11، بسته به هدف و کاربرد

با میدان دید وسیع GT300، می‌توانید بدون نیاز به چندین بار گرفتن عکس، در یک عکس، تصویری با زاویه دید عریض داشته باشید.

طراحی جسورانه و در عین حال متعادل او، راحتی و کاربردی بودن را ارائه می‌دهد.

      طراحی مکانیکی ثبت شده Genoray تصاویر Cephalo را با حداقل ارتیفکت تصویری  قابل استفاده برای GT300-C ارائه می‌دهد.

سیستم هدایت صوتی و نورپردازی LED باعث افزایش راحتی بیمار می‌شود.

نرم افزار اختصاصی برند جنوری

Theia

تمام تصاویر بیمار را می‌توان به صورت تصاویر کوچک سازماندهی کرد که امکان ثبت روان و ورود بیننده را فراهم می‌کند.

موقعیت یابی خودکار

GT300

1,202(W) x 1,107(D) x 2,294(H) mm
135 kg ± 5%

GT300-C

1,883(W) x 1,107(D) x 2,294(H) mm
135 kg ± 5%